
您是不是有缺牙的困擾,但對於植牙又抱持觀望的態度,遲遲不敢下決定呢?
如果您也因為這個疑慮煩惱很久,今天牙小編來到位於永和的博誠美學牙醫診所,新北植牙推薦博誠美學牙醫診所以在地深耕多年,由法蘭克福歌德大學植牙碩士何家銘院長領軍,帶領一群優秀的牙科醫師,攜手照顧永和居民的口腔健康。
目錄

博誠美學牙醫診所環境介紹
博誠美學牙醫診所的位置就在新北永和的中正路上,鄰近永和國小以及八二三紀念公園。如果是搭乘捷運的朋友,可以在永安市場站下車,只需步行大約15分鐘就能輕鬆抵達。
而如果您是開車族,放心!不需要擔心找不到停車位,附近有八二三紀念公園、秀朗國小地下停車場,或者國立臺灣圖書館地下停車場,交通非常方便。

走進博誠美學牙醫診所,馬上感受到一種極致的舒適感,完全讓你忘卻在牙醫診所的緊張,診所環境給人的感覺是一種放鬆舒適,完全不會有壓力。

診療區域設計明亮且空間設計寬敞,打造出令人愉悅的就醫氛圍。診所內擁有多間診間,並配有完善的設備,像是:3D電腦斷層掃描、口顎全x光機、側顱x光機等專業設備。



新北植牙專家何家銘院長-嚴謹,所以讓人放心
現在我們來深入瞭解一下何家銘院長所擅長的『一日長城植牙技術』吧!先讓我簡單介紹一下何院長背景,下圖滿滿的學經歷可知何院長絕對是位實力雄厚的專業醫師。

何家銘院長不僅專業而且經歷也是相當豐富,也難怪慕名來找何院長治療人這麼多!何院長不僅是德國法蘭克福歌德大學植牙碩士,還是台灣亞太植牙醫學會的理事長,真的是植牙領域專家中的專家呀!


今日牙小編受邀來參與「一日長城全口重建植牙」發表會,一開始有點一頭霧水,儘管在牙科領域工作多年,牙小編還真的比較少聽到這種植牙術式!據何家銘院長所說,這種植牙方式非常迅速,手術當天即可完成,走出診所大門立即煥然一新,真的太方便啦!!

一日植牙類型介紹
一日植牙主要可區分為兩種類型:「前牙美觀區單顆植牙」和「全口重建」。大多數前牙缺失的情況患者會期待能夠一日即完成植牙,避免無牙尷尬期,迅速重現以往的自信笑容,一日植牙讓你不必等待,即刻展現自信笑容。
在「全口重建」方面,又可細分為「All-on-4、All-on-6」和「一日長城」,兩者皆可一日完成,秒回自信笑容!


一般植牙過程說明
在一般植牙的過程中,通常是先植入植體,然後等上2-3個月,才能裝上支台齒。再等2-4周確保植體和周圍的牙肉都好好癒合,最後才能裝上假牙牙冠。何家銘院長分享其實真的符合以上癒合條件的人不多。
過程雖然有點漫長,但只要成功度過這個階段,就可以擁有健康的牙齒,正常吃東西啦!

除了一般植牙之外,現在單顆植牙還有「即拔即種」的技術,拔牙後當天就能擁有全新的假牙,快速達到恢復口腔功能與美觀!
但「即拔即種」這個方法有一點小小的限制,不是每個人都能用,齒槽骨骨頭要夠厚才行,經醫師檢查過後判斷骨頭不夠厚的話,可能得考慮補骨手術,通常需要再等上大約半年左右。

博誠美學牙醫診所在這方面會使用專業軟體來分析骨質硬度,確保植體種植在骨質最佳位置,大幅降地植牙失敗率!將科技融入牙科,讓即拔即種變得更加高效又精確!


植牙不只要找對位置,還要找對角度!
這時候博誠美學牙醫診所的「手術導引版」就是一個超級實用的小幫手,確保植牙順利與成功!
牙齒的空間有限,稍有誤差就可能造成植牙失敗,使用手術導引版,就像駕馭一艘精準的船,確保每一個齒槽骨鑽孔都能準確無誤、確保每個步驟都不出差錯。不僅如此,手術導引版還可以依照每位患者的需要客製化,讓人感到貼心又專業!


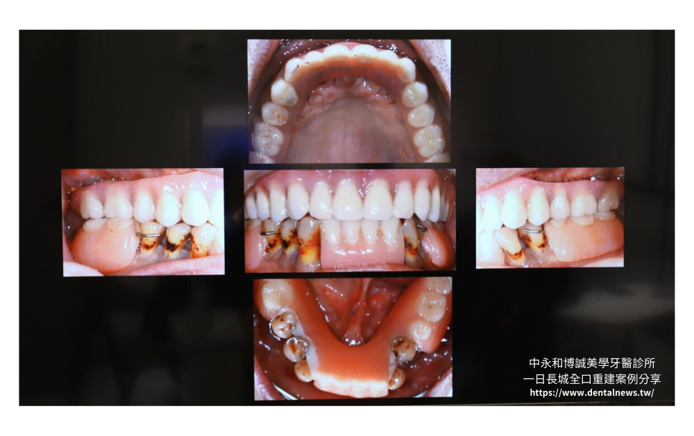
一日長城全口重建植牙術式介紹
除了上述提到的一般植牙、即拔即種的方式之外,還有今日的重頭戲「一日長城全口重建植牙」。
「一日長城全口重建植牙」厲害的地方在於能夠地將4~6個植體牢牢固定於齒槽骨中,植體可以互相提升整體的穩固感和穩定性,同時也確保植牙更能輕鬆應對咀嚼和其他口腔運動所帶來的各種壓力,植牙變得如此簡單,不再是煩惱!
一日長城全口重建植牙是何家銘醫師相當拿手的植牙術式。若您目前正考慮想要快速的彌補缺牙,不妨來電預約博誠美學牙醫診所進行諮詢,讓何家銘院長親自看過您的牙況後,與您討論是否是用這樣的植牙術式。


大家都想知道「All-on-X」和「一日長城」到底差在哪裡?別擔心,讓何家銘院長用簡單的話告訴你!
一日長城的優點在於使用4~6根較短的植體,植入齒槽骨中,能夠提供較高安全性。在假牙支撐方面,一日長城使用鈦金屬銲接骨架,並提供客製化假牙製作服務,讓患者在咀嚼的時候能夠達到與真牙無異的效果。

費用部份想必也是許多人最在意的一點,一日長城全口重建的費用和all on 4/all on 6可是相當接近的。
如果看到這邊,你仍對於這兩種方式存有疑惑,不妨來診所一趟,讓何家銘院長親自評估您的牙況後,提供最專業的分析給您做選擇。


一日長城植牙可以想像成「可拔式」的假牙,你還在擔心假牙脫落嗎?完全可以放心啦。現在的技術可是超級牢固,不論吃東西或大笑,絕對不會出糗啦!
透過巧妙的「磨擦穩固」設計,目的是在日後的維修和治療上都更加方便,但也實現讓假牙固定穩如泰山的目標,不僅不容易脫落,想自行拔開都相當困難。
你還在害怕植牙是件浩大工程嗎?博誠美學牙醫診所的一日長城全口重建技術讓您一天之內重獲一口好牙,想要好好吃東西不必再多等半年!
何家銘 院長|新北植牙專家
學歷與經歷
德國法蘭克福歌德大學植牙碩士
國立陽明交通大學牙醫學士
國立陽明交通大學牙醫學院講師
陽明大學植牙專業課程講師
歐洲骨整合學會(EAO)會員
台灣亞太植牙醫學會專科醫師及理事長
台灣牙醫植體醫學會理事
新北市牙醫師公會理事
台德牙醫教育研究中心指導醫師
中華審美牙醫學會會員
博誠美學牙醫診所|新北植牙推薦
地址:新北市永和區中正路411號
電話:080-088-8901
營業時間:09:00~12:00;14:00~18:00(星期天公休)
粉絲頁:https://www.facebook.com/professiondentalclinic/
官方LINE@:https://line.me/ti/p/@omp0124k