氟被廣泛使用在了口腔清潔用品之中,牙齒塗氟也成為了相當常見的蛀牙預防方式。但其實氟的使用與攝取並非越多越好,在某些特定情況下,氟有可能會造成氟斑牙的後遺症。氟斑牙是什麼?為什麼會產生氟斑牙?氟斑牙是當小朋友氟攝取過量時會造成琺瑯質形成受到阻礙,牙齒在外觀上會出現異常的凹凸與色澤變化。氟斑牙對牙齒造成的外觀影響是永久性的,並且幾乎無法治癒,只能透過陶瓷貼片等方式解決。
氟斑牙是什麼?
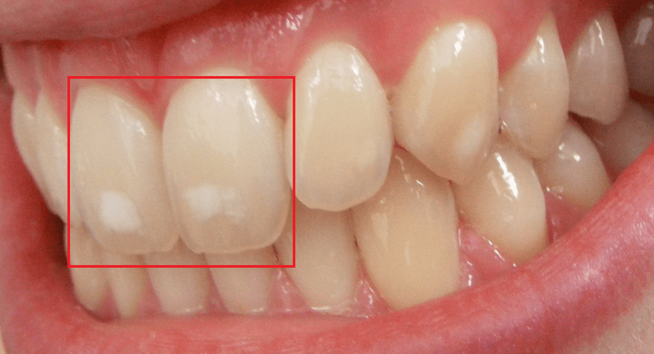
氟斑牙是一種牙齒疾病,常好發於在自來水加氟的國家中,例如加拿大、美國、英國等等歐美國家,在台灣的影響力比較低。氟斑牙的形成原因與條件是在幼兒牙齒發育、生長的時期,攝取了過量的氟元素,影響了牙齒琺瑯質形成的過程,造成牙齒琺瑯質生長上的阻礙,結果來說會變成牙齒色澤泛黃、牙齒表面粗糙,在外觀上依據氟斑牙的嚴重程度,可能會非常不好看。

至於氟斑牙到跟蛀牙到底有沒有絕對的相關性呢?目前其實兩派說法各有人支持,有些牙醫師認為因為氟的攝取,所以有氟斑牙問題的人比較不容易蛀牙;但也有牙醫師認為因為琺瑯質有一定防止蛀牙的效果、且琺瑯質產出的過程受阻,加上牙齒表面凹凸不平、容易藏污納垢,因此氟斑牙比較容易面臨蛀牙的情況。
氟斑牙怎麼治療?
常見的氟斑牙後續處理方式,主要有全瓷冠以及陶瓷貼片兩種做法。這兩種作法都是以陶瓷為材料來重建牙齒的外觀,因為氟斑牙不只是顏色有異常,連光滑度都有被影響,所以單靠牙齒漂白、顏色改變等等的治療方式效果會比較有限。
雖然也有人會選擇便宜、可塑性高的樹脂牙齒修復方案,儘管外觀幾可亂真,但因為樹脂材質的脆弱性,即便樹脂治療法的費用比較便宜,通常醫師也不太會建議使用此治療方式做為長期的氟斑牙治療方式。
牙齒塗氟是防蛀牙的好辦法
對於無法做到正確口腔清潔與保養的幼兒來說,除了家長協助刷牙之外,其他常見的作法有少吃糖、少喝飲料等等,而牙齒塗氟也是目前許多家長與牙醫會採用的方法之一。
氟因為物質特性的緣故,所以目前廣泛被投入使用在牙科治療與口腔相關的產品之中,氟對於蛀牙有著良好的預防效果,根據研究數據表明,台灣本身的兒童蛀牙率是比歐美各國還要高的,世界上有許多國家選擇了在自來水中添加一定比例的氟做為全國蛀牙防治手段,而目前這個做法也獲得了成功的回報。
牙醫師公會全聯會監事會召集人、雙和醫院牙科部主任黃茂栓表示,研究已經證明了在自來水中加氟,能將蛀牙防治率提升5-6成左右,作為國家的蛀牙防治政策來說,自來水加氟是有效的防治辦法。
(了解更多:自來水加氟,衛福部喊卡)

牙齒塗氟要注意氟的攝取量
那為什麼台灣沒有選擇在自來水中加氟呢?
其實台灣曾經策畫過自來水加氟的政策,只是最後都因為各種原因失敗了,就結論來說,氟與氟化物雖然對蛀牙防治非常有效,但是氟並非攝取越多越好的物質,也並非人體能夠輕鬆、自然代謝掉的成分,攝取過量的氟會有中毒的風險,加上台灣四面環海、海產中也會含有一定的氟化物,如果沒有稍加控制的話,是有可能會出現氟中毒的情況(雖然機率不高),且如果是幼童攝取些微過量的氟元素,也需要小心氟斑牙出現的可能性。
(了解更多:建立兒童塗氟新觀念,為什麼需要塗氟?)